בית
שירותים
הצוות
אודות
הצגת מקרים
צרו קשר
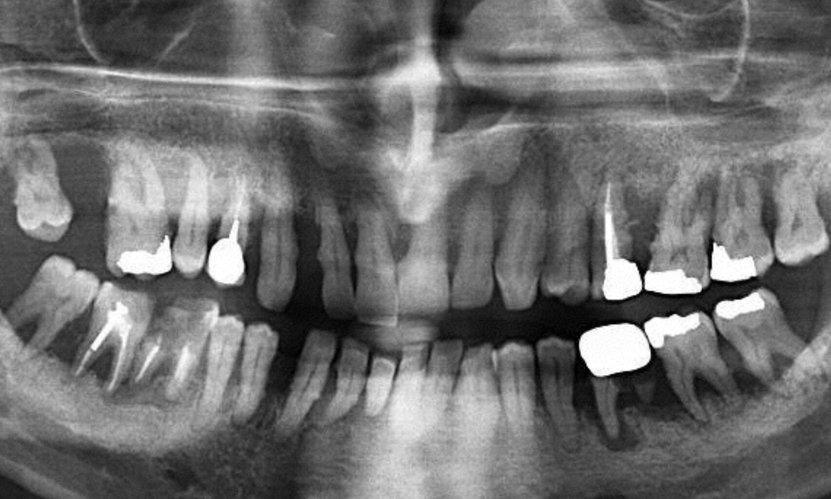
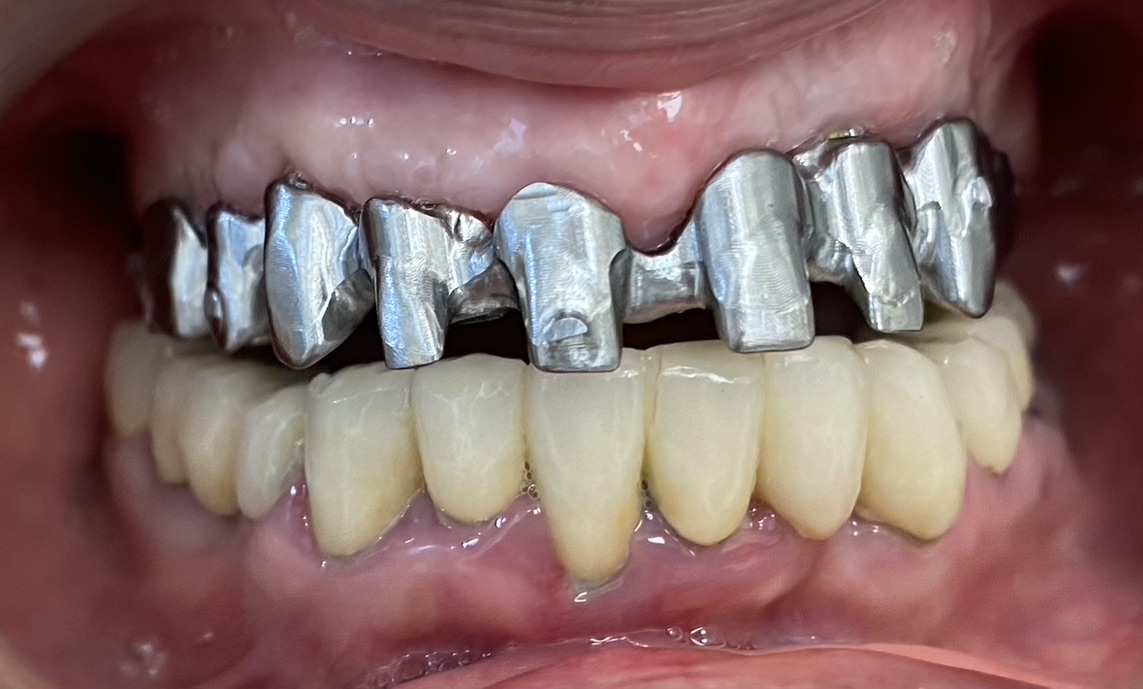
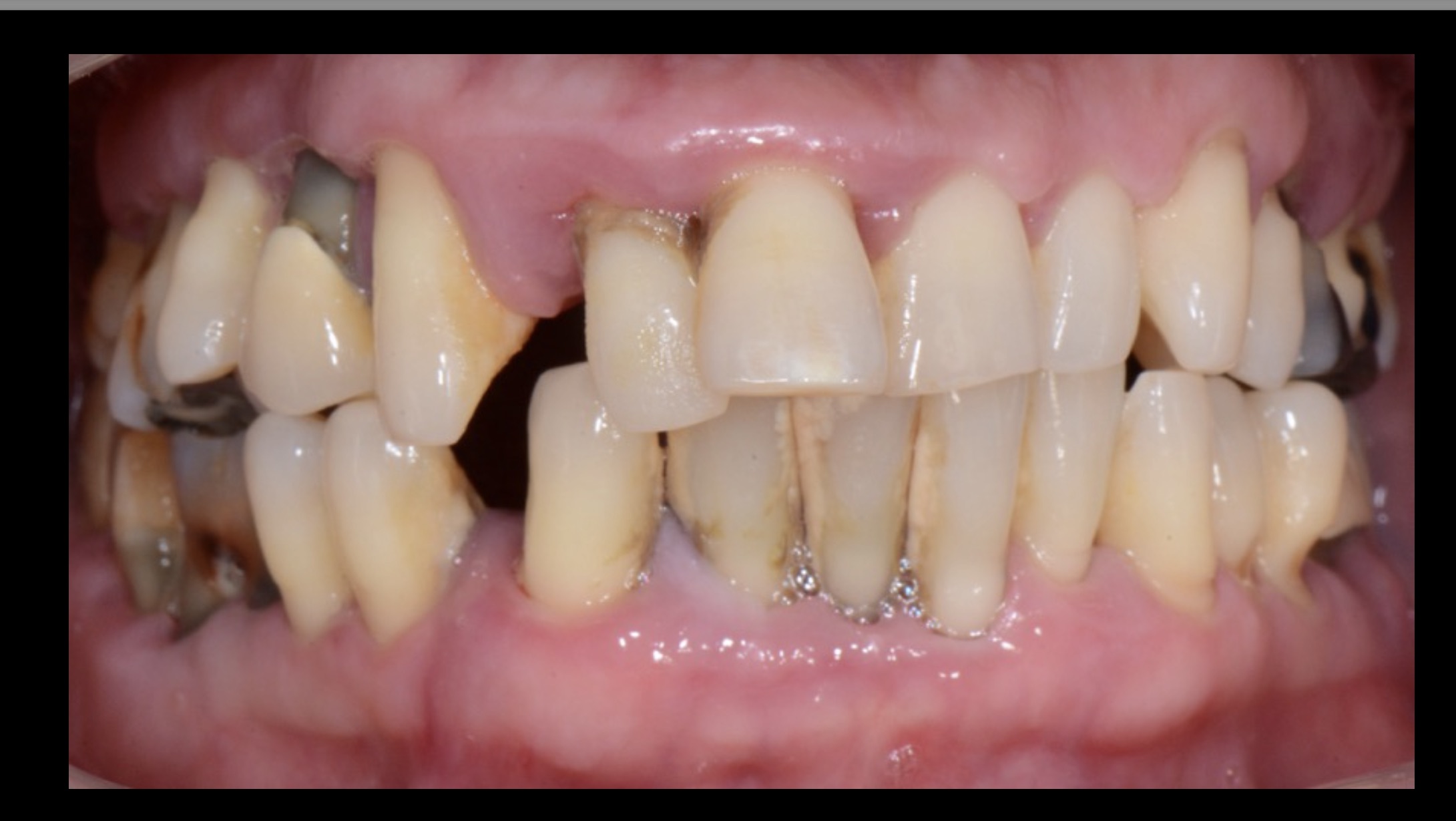
גלריית הצגת מקרים לפני ואחרי
צרו קשר